INTRODUCTION
Explore This Issue
March 2026The middle meningeal artery (MMA) originates from the maxillary artery, a branch of the external carotid artery, and enters the skull base through the foramen spinosum from the infratemporal fossa. It plays a crucial role in supplying blood to various intracranial structures and the calvarium. The MMA is frequently encountered during surgical procedures involving the infratemporal fossa either via an endonasal endoscopic approach or an infratemporal fossa approach. Incidental bleeding from the MMA is usually profuse and sometimes difficult to control, especially if it happens during a surgical approach to the infratemporal fossa via an endonasal endoscopic approach. Moreover, it can be mistaken for bleeding from the nearby horizontal petrous internal carotid artery (ICA) due to its proximity.
Here, we present a case in which we successfully removed a giant cell tumor in the infratemporal fossa via an infratemporal fossa approach after selectively embolizing the MMA during transfemoral carotid angiography. During the infratemporal fossa approach, the embolized MMA was a useful surgical landmark to confirm the posterior boundary of the tumor with minimal bleeding during surgery.
MATERIALS AND METHODS/PATIENT INFORMATION

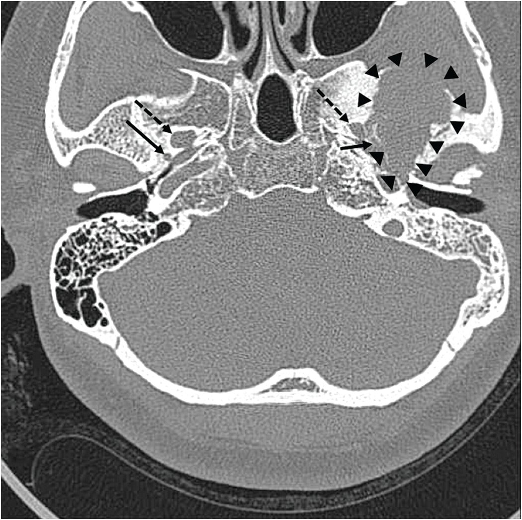
Figure 1. Pre-operative computed tomography showing a giant osteolytic lesion (margin indicated with arrow heads) contacting foramen spinosum (solid arrows), but not in contact with foramen ovale (dashed arrows).
A 46-year-old woman presented with persistent middle ear effusion and hearing loss on the left side. Pain during mastication started approximately five years prior and had recently gotten worse with trismus. She also presented with parageusia and a sour taste. Otoscopic examination revealed middle ear effusion on the left side, and she could not inflate the middle ear by Valsalva maneuver. A pure tone audiogram revealed conductive hearing loss on the left side. She underwent ventilation tube insertion in her left ear, but the tube was noted to have fallen out at an outpatient follow-up visit 30 months later, with recurrence of the middle ear effusion. There was no mass lesion on endoscopic nasopharyngeal examination. Therefore, Eustachian tube balloon dilatation was planned, and a pre-operative computed tomography (CT) scan was performed. High-resolution CT scans revealed a large, ill-defined osteolytic lesion with adjacent sclerotic changes in the left middle cranial fossa (Figure 1, arrowheads). Magnetic resonance imaging (MRI) showed the tumor did not contact the foramen ovale but was adjacent to the foramen spinosum and mandibular condyle. MRI showed an approximately 4-cm heterogeneous mass in the left temporal bone involving the sphenoid bone and left temporomandibular surface, growing downward into the infratemporal fossa. The mass appeared as an iso-and low-signal mixed lesion on pre-contrast T1-weighted images, and there was a markedly low signal within the tumor on T2 imaging with cystic changes. Post-contrast T1-weighted images revealed a heterogeneous enhancing lesion with intense enhancement of cystic areas, which is highly suggestive of a giant cell tumor. Positron emission tomography (PET) revealed a strong signal of high accumulation of 18F-fluoro-2-deoxy-D-glucose (18F-FDG) in the infratemporal fossa.
Leave a Reply